ダイレクトボンディング
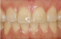
以前詰められた、保険内での白い詰め物です。
痛みがあるとか、取れてしまっているわけではありません。
しかし、変色し、回りに隙間ができていて、そこから虫歯菌が入ってしまいます。 なぜ、こんな結果になるのでしょうか?ウデが悪いのでしょうか?
|
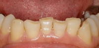
原因として、時間をかけてないことが考えられます。
- 防湿
(ジンパック、ラバーダム、ズー、麻酔)~濡れた所には付かない - 拡大
(マイクロ、ルーペ)~肉眼では見えない - 接着
(EDTA、リン酸、GM、ボンディング、流動性レジン)~各ステップを略さない - 材料
(保険外の材料、Kerrプレミス)~保険内と保険外の材料がある - 積層充填
(オペーク、デンティン、エナメル、トランス)~各ステップを略さない - 歯の形態、咬合の知識と、それを再現する技術
きちんと1歯を詰めるのに、30分から1時間は必要です。
保険だと、1歯296点、つまり2960円です。(患者負担は890円)
この金額で、きちんとした詰め物をするための時間は可能でしょうか。
自費コンポジット充填 治療費 (税別)
前歯Ⅲ級窩洞(小さい虫歯)\30,000
前歯Ⅴ級窩洞(小さい虫歯)\30,000
前歯Ⅳ級窩洞(大きい虫歯)\40,000
臼歯Ⅰ級窩洞(小さい虫歯)\30,000
臼歯Ⅱ級窩洞(大きい虫歯)\40,000
![]() |
ダイレクトボンディング症例
前歯Ⅳ級窩洞(大きい虫歯)
|
||||
臼歯Ⅰ級窩洞(小さい虫歯)
![]() |
![]() |
||
前歯Ⅳ級窩洞(正中離開)
|
||||
前歯Ⅳ級窩洞(大きい虫歯)
|
理想的な詰め物の材質と厚みとは
歯はエナメル質と象牙質という2層構造をしていて、当然、その特徴・組成は異なります。
|
そのため、詰め物も2層にしたほうが、天然歯に近い状態になります。つまり、エナメル質に近い性質のポーセレン(陶材)、象牙質に近い性質のコンポジットレジンを2層構造で詰めるのが、良いと考えられます。
|
|
||
![]() |
細菌が侵入し、感染している歯質のみ除去 |
|
|
|
||
![]() |
接着性コンポジットレンジを充填 |
|
|
|
||
![]() |
コンポジットレンジを残し、窩洞を形成、印象採得する |
|
|
|
||
![]() |
修復物をレジンセメントで窩洞のレジン面に接着 |
|
|
|
||
しかも、レジンコーティングという手法で、即座にむし歯や切削した歯面を封鎖できます。ということは、感染の機会がないということになります。
また、エナメル質の代わりに詰める表層の詰め物は、均一な厚みのほうが、咬合力が加わった際に、割れにくくなります。薄い部分があると、そこから割れてきます。そのため、均一な厚みの詰め物をつくるために、むし歯でデコボコになった形を平坦にする必要があります。そして、エナメル質の厚み分(1mm 強)を目安に表層の詰め物の厚みを決めます。
![]() |
![]() |
|||
![]() |
![]() |
|||
| 不均一な厚さ | 均一な厚さ | |||
|






























