
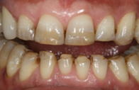
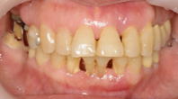
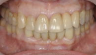
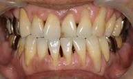
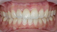
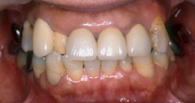
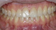
審美治療の症例
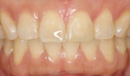
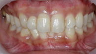
歯肉が良くなっている所に注目して下さい。
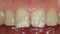
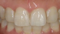
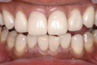
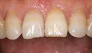
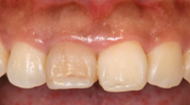
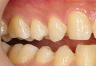
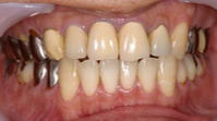
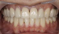
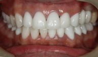
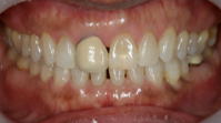
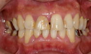
ラミネートベニア
|
||||
|
|
||||
|
||||
|
|
||||
|
||||
|
|
||||
|
||||
|
|
||||
|
||||
|
|
||||
|
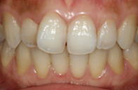
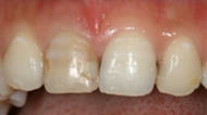
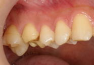
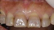
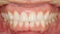
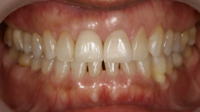
ダイレクトボンディング
|
||||
|
|
||||
|
||||
|
|
||||
|
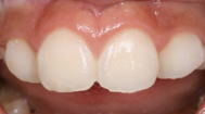
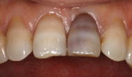
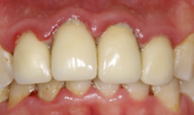
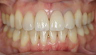
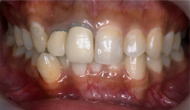
インターナルブリーチ
|
||||
|
|
||||
|
||||
|
|
||||
|
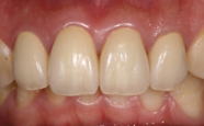
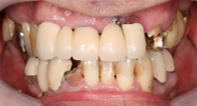
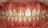
ポーセレンアンレー
|
||||
|
|
||||
|
||||
|
|
||||
|
||||
|
|
||||
|
||||
|
|
||||
|
||||
|
|
||||
|
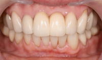
オールセラミッククラウン
|
||||
|
|
||||
|
||||
|
|
||||
|
||||
|
|
||||
|
||||
|
|
||||
|
||||
|
|
||||
|
||||
|
|
||||
|
||||
|
|
||||
|
ラミネートベニア オールセラミッククラウン
|
||||
|
|
||||
|
||||
|
|
||||
|
||||
|
|
||||
|
ラミネートベニア オールセラミッククラウン ホワイトニング
|
オールセラミッククラウン ホワイトニング
|
||||
|
|
||||
|
ラミネートベニア オールセラミッククラウン 矯正
|
ラミネートベニア オールセラミッククラウン 矯正 ホワイトニング
|
ラミネートベニア オールセラミッククラウン 矯正
|
|



















































































