
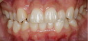
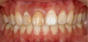
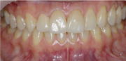
ホワイトニング治療の症例
歯肉が良くなっている所に注目して下さい。
ホワイトニング
|
||||
|
|
||||
|
||||
|
|
||||
|
||||
|
|
||||
|
||||
|
|
||||
|
||||
|
|
||||
|
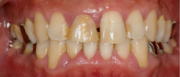
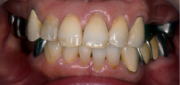
オールセラミッククラウン
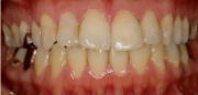
ホワイトニング
|
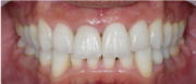
オールセラミックブリッジ
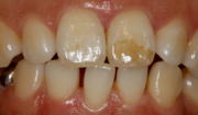
ホワイトニング
|
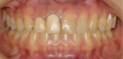
ラミネートベニア
オールセラミッククラウン
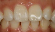
ホワイトニング
|
||||
|
|
||||
|
||||
|
|
||||
|
||||
|
|
||||
|
|


































